Молочница, или кандидоз, — распространенное грибковое заболевание, затрагивающее женщин и мужчин. Оно вызывает дискомфорт и неприятные симптомы. Молочница не только ухудшает качество жизни, но и может сигнализировать о серьезных проблемах со здоровьем. В статье рассмотрим основные симптомы, причины, последствия, а также методы диагностики и лечения, что поможет читателям распознать заболевание и принять меры для его устранения.
Лечение молочницы
Молочница у детей обычно не представляет собой серьезной проблемы. Лечение можно проводить с помощью противогрибковых средств, таких как нистатин. В большинстве случаев достаточно просто нанести препарат на белые пятна. При наличии молочницы у ребенка грибки могут также развиваться в области подгузников, и в таких случаях может потребоваться использование крема или мази с нистатином.
Для лечения молочницы у взрослых на начальной стадии можно применять препараты, например, жидкости или таблетки, непосредственно на пораженные участки. Если местные средства не приносят результата, врач может назначить противогрибковые таблетки.
Хотя у здоровых детей и взрослых молочница лечится довольно легко, у людей с ослабленным иммунитетом и пожилых пациентов симптомы могут быть более выраженными и сложными. Обычно для лечения молочницы назначаются противогрибковые препараты, которые принимаются в течение 10-14 дней. Они доступны в форме таблеток или жидкостей. Врач-стоматолог должен подойти к лечению индивидуально, учитывая возраст и причины инфекции. Поскольку наличие заболевания может указывать на другие проблемы со здоровьем, стоматолог может порекомендовать обратиться к врачу для устранения более серьезных заболеваний.
За исключением легких форм, важно предпринять меры для предотвращения распространения инфекции. Чаще всего для этого используются противогрибковые препараты, которые наносятся на пораженные участки или принимаются внутрь.
- Выбор типа лекарства зависит от состояния здоровья пациента, степени сложности и динамики развития молочницы.
- Младенцы почти всегда лечатся местными противогрибковыми средствами. Для взрослых местные препараты могут быть неэффективны из-за большой полости рта, что затрудняет обработку пораженных участков.
Легкие формы молочницы
Легкие случаи заболевания у взрослых можно успешно лечить в домашних условиях. Обычно это включает использование противогрибковых ополаскивателей для рта или таблеток. Стандартный курс лечения длится около двух недель.
Легкая молочница у грудных детей, как правило, лечится местными противогрибковыми средствами до тех пор, пока в течение последних двух суток не наблюдаются симптомы.
Средняя и тяжелая молочница
Более серьезные формы молочницы, которые распространяются на пищевод, требуют приема препаратов внутрь. Также могут использоваться местные лекарства. В некоторых случаях лечение тяжелой молочницы может занять более двух недель.
Противогрибковые препараты, принимаемые внутрь, почти никогда не назначаются во время беременности, так как они могут нанести вред плоду. Однако, если беременная женщина страдает от редкой и тяжелой формы молочницы, которая проникла в ее кровь, можно рассмотреть возможность использования системных препаратов. В этом случае риск, связанный с тяжелой инфекцией, может превышать потенциальный вред от противогрибковых средств.
Хроническая или рецидивирующая молочница
В таких случаях следует:
- Повторно пройти курс лечения после исчезновения всех симптомов.
- Использовать как местные, так и системные препараты.
Люди с ослабленным иммунитетом могут принимать противогрибковые средства на постоянной основе для предотвращения развития молочницы. Крайне важно устранить все источники инфекции, иначе заболевание может вернуться. Для этого необходимо регулярно очищать игрушки, соски, бутылки и другие предметы, которые ребенок может взять в рот или поделиться с другими детьми. Также важно лечить заболевания, которые делают вас более уязвимыми к молочнице, такие как диабет, ВИЧ или онкологические заболевания.
Молочница, или кандидоз, является распространенным грибковым заболеванием, вызванным грибами рода Candida. Врачи отмечают, что основными симптомами являются зуд, жжение и белые творожистые выделения. Причины возникновения молочницы могут быть разнообразными: от нарушения микрофлоры влагалища до стрессов, гормональных изменений и приема антибиотиков. Запущенная молочница может привести к серьезным последствиям, включая хронические воспалительные процессы и риск передачи инфекции партнеру. Для диагностики заболевания врачи рекомендуют проводить микроскопическое исследование выделений и анализы на наличие других инфекций. Лечение обычно включает противогрибковые препараты как местного, так и системного действия. Также важно обратить внимание на коррекцию образа жизни и питания, чтобы предотвратить рецидивы. Врачи подчеркивают, что своевременное обращение за медицинской помощью позволяет избежать осложнений и быстро восстановить здоровье.
Молочница, или кандидоз, является распространённым заболеванием, вызванным избыточным размножением грибков рода Candida. Эксперты отмечают, что основными симптомами являются зуд, жжение, а также выделения, имеющие творожистую консистенцию. Причинами развития молочницы могут быть нарушения микрофлоры, ослабление иммунной системы, а также длительное применение антибиотиков. Последствия игнорирования заболевания могут быть серьёзными, включая хронические инфекции и осложнения в репродуктивной системе.
Диагностика молочницы обычно включает анализы на наличие грибка и оценку состояния микрофлоры. Лечение, как правило, состоит из применения противогрибковых препаратов, как местного, так и системного действия. Важно также учитывать необходимость коррекции образа жизни и питания, чтобы предотвратить рецидивы. Эксперты подчеркивают, что своевременное обращение к врачу и соблюдение рекомендаций могут значительно улучшить состояние и качество жизни пациента.

Симптомы молочницы
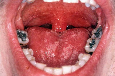
Молочница может быть слабой инфекцией, не вызывающей никаких симптомов. Симптомы обычно проявляются при развитии заболевания. Как правило, заболевание развивается внезапно, но она может стать хронической и существовать в течение длительного времени. Общим признаком молочницы является наличие кремово-белых поражений во рту:
Как правило, такие пятна образуются на языке или внутренней щеке, но иногда в верхней части ротовой полости, на дёснах, миндалинах или задней стенке горла. Поражения, которые внешне напоминают творог, могут быть безболезненными или немного кровоточить, когда вы трёте их или чистите зубы. В тяжелых случаях поражение может распространяться в пищевод.
У детей
Симптомы молочницы у детей могут включать:
- Белые пятна на языке и в полости рта. У детей их легко спутать с остатками творога или молока. Не пытайтесь вытереть пятна – вы можете натереть их докрасна и спровоцировать боль. Кроме того, эти поражения не удаляются так просто.
- Боль во рту и на языке и/или затруднённое глотание.
- Плохой аппетит. Ребёнок может отказываться от еды, что иногда ошибочно принимается за сытость новорожденного или плохое молоко. Если ребёнок не может есть из-за ранок во рту или горле, он может проявлять капризность.
- Сыпь на коже в области подгузников, провоцируемая грибками, развивающими молочницу, которые также могут присутствовать в стуле ребёнка.
У взрослых
Симптомы молочницы у взрослых могут включать:
- Чувство жжения в горле и ротовой полости (на начальной стадии развития).
- Белые пятна на языке и во рту. Ткани вокруг ранок могут быть красными и болезненными. При натирании (например, во время чистки зубов) поражения могут немного кровоточить.
- Ощущение, что пища застревает в области горла и середине груди.
- Неприятный привкус во рту или сложность дегустации продуктов. Некоторые взрослые говорят, что ощущают наличие ваты во рту.
- Проявления лихорадки, если инфекция распространяется за пределы пищевода.
Кормящая грудью мать может заразиться молочницей через соски, если ребёнок инфицирован. Это может вызвать боль и покраснение сосков. Также может ощущаться жгучая боль в сосках во время и после кормления грудью. При этом ребёнок может не иметь никаких симптомов.
Молочница может распространиться в другие области организма, в том числе на лёгкие, печень и кожу. Чаще всего это происходит у людей с онкологией, ВИЧ или другими заболеваниями, ослабляющими иммунитет.
| Аспект | Описание | Важные замечания |
|---|---|---|
| Симптомы | Зуд и жжение во влагалище и/или наружных половых органах. Творожистые выделения белого или желтоватого цвета, без запаха или с легким кислым запахом. Покраснение и отек слизистой оболочки. Боль и дискомфорт при мочеиспускании и половом акте. | Симптомы могут варьироваться по интенсивности. У мужчин молочница проявляется покраснением, зудом и белым налетом на головке полового члена. |
| Причины | Дисбаланс микрофлоры: Прием антибиотиков, гормональные изменения (беременность, менопауза, прием оральных контрацептивов), сахарный диабет, ослабленный иммунитет (ВИЧ, стресс, хронические заболевания). Внешние факторы: Тесное синтетическое белье, чрезмерное использование гигиенических средств, спринцевания, неправильное питание (избыток сладкого). | Молочница не является заболеванием, передающимся половым путем, но может передаваться при половом контакте. |
| Последствия | Хроническая молочница, рецидивирующие инфекции. Распространение инфекции на другие органы (мочевой пузырь, почки). У беременных женщин – риск преждевременных родов, инфицирование плода. Снижение качества жизни, дискомфорт, проблемы в интимной сфере. | Несвоевременное или неправильное лечение может привести к осложнениям. |
| Диагностика | Гинекологический осмотр: Оценка состояния слизистых оболочек. Микроскопическое исследование мазка: Обнаружение дрожжеподобных грибов рода Candida. Культуральное исследование (посев): Определение вида грибка и его чувствительности к противогрибковым препаратам. | Самодиагностика и самолечение не рекомендуются. Точный диагноз может поставить только врач. |
| Лечение | Местное лечение: Вагинальные свечи, кремы, мази с противогрибковыми компонентами (клотримазол, нистатин, миконазол). Системное лечение: Таблетки для приема внутрь (флуконазол, итраконазол) при тяжелых или рецидивирующих формах. Коррекция сопутствующих факторов: Лечение основного заболевания, нормализация питания, отказ от тесного белья. | Лечение должно быть комплексным и назначаться врачом. Важно пройти полный курс лечения, даже если симптомы исчезли. |
Интересные факты
Вот несколько интересных фактов о молочнице:
-
Причины и предрасполагающие факторы: Молочница, или кандидоз, вызывается грибами рода Candida, чаще всего Candida albicans. Эти грибы естественным образом обитают в организме человека, но определенные факторы, такие как ослабление иммунной системы, прием антибиотиков, гормональные изменения или диабет, могут привести к их избыточному размножению и развитию инфекции.
-
Симптомы и диагностика: Основные симптомы молочницы включают зуд, жжение, белые творожистые выделения и дискомфорт при мочеиспускании или половом акте. Для диагностики молочницы обычно достаточно клинического осмотра и анализа выделений, однако в некоторых случаях может потребоваться микроскопическое исследование или культура на грибки.
-
Лечение и профилактика: Лечение молочницы обычно включает противогрибковые препараты, которые могут быть как местного, так и системного действия. Важно также обратить внимание на профилактические меры, такие как поддержание нормального уровня сахара в крови, соблюдение гигиенических норм и ограничение потребления сахара, что может помочь предотвратить рецидивы заболевания.

Лечение молочницы в домашних условиях
Если ваш ребенок страдает от легкой формы молочницы, обычно достаточно будет использовать чистую бутылочку и соску, а также регулярно протирать ротик малыша влажной тканью.
Если вы кормите грудью, рекомендуется обрабатывать соски противогрибковыми средствами, такими как нистатин. После кормления соски следует тщательно вытирать насухо. Использование ланолинового крема поможет уменьшить болезненные ощущения.
Если вы носите зубные протезы и у вас возникла молочница, необходимо ежедневно промывать рот и очищать протезы.
- Снимайте протезы перед сном.
- Тщательно чистите их зубной щеткой с водой.
- Замачивайте на ночь в биглюконате хлоргексидина, который можно приобрести в аптеке. Также подойдут специальные чистящие средства для протезов, такие как Polident или Efferdent, которые можно найти в аптеках и магазинах.
- Дополнительно промывайте протезы в первой половине дня. Если вы использовали биглюконат хлоргексидина для чистки протезов, не применяйте зубную пасту с фтором в течение 30 минут после их установки обратно в рот, так как фтор может снизить эффективность биглюконата.
Горечавка фиолетовая (1%), являющаяся красителем, обладающим антимикробными свойствами, иногда используется для лечения молочницы. Она доступна без рецепта, но применяется только для взрослых. Обсудите с врачом возможность ее использования для лечения молочницы у ребенка. Если горечавка не приносит результатов, проконсультируйтесь с врачом о других вариантах лечения.
Снижение дискомфорта
Для уменьшения дискомфорта можно предпринять следующие шаги:
- Пейте холодные напитки, такие как вода или холодный чай, или употребляйте лечебный лед или замороженный сок.
- Выбирайте легкие для проглатывания продукты, такие как желатин, мороженое, заварной крем и подобные.
- Если питье вызывает боль, попробуйте использовать трубочку.
- Полощите рот несколько раз в день теплым раствором с солью. Для этого смешайте 1 чайную ложку (5 г) соли с 0,2 л теплой воды.
Молочница, или кандидоз, вызывает много обсуждений среди людей, сталкивающихся с этой проблемой. Симптомы, такие как зуд, жжение и белые творожистые выделения, часто приводят к дискомфорту и стеснению. Многие замечают, что молочница может развиваться после приема антибиотиков, когда нарушается баланс микрофлоры. К факторам риска относятся стресс, ослабленный иммунитет и гормональные изменения.
Игнорирование заболевания может привести к серьезным последствиям: от хронических воспалений до осложнений во время беременности. Диагностика обычно включает анализы на наличие грибка Candida, что позволяет точно определить вид и назначить соответствующее лечение.
Лечение может включать противогрибковые препараты как местного, так и системного действия. Важно также соблюдать гигиену и вести здоровый образ жизни, чтобы снизить вероятность рецидивов. Многие люди отмечают положительный эффект от пробиотиков и изменения в рационе, что помогает восстановить баланс микрофлоры.
Причины возникновения молочницы
У здоровых людей присутствует небольшое количество грибков рода Кандида во рту, желудочно-кишечном тракте и других слизистых оболочках, а также в коже. Обычно это безвредно. В нормальном организме эти грибки контролируются полезными бактериями и микроорганизмами. Но некоторые заболевания или стресс могут нарушить баланс, в результате чего грибки Кандида начинают бесконтрольно расти, вторгаться в окружающие ткани, становясь инфекцией и вызывая молочницу.
Молочница может быть вызвана лекарствами, нарушающими баланс микроорганизмов в ротовой полости, такими как антибиотики, кортикостероиды и таблетки. Среди заболеваний, повышающих вероятность развития молочницы, встречаются неконтролируемый диабет, ВИЧ-инфекции, онкология, сухость во рту. Она также может быть вызвана беременностью, а точнее – связанными с ней гормональными изменениями. Курение и ношение зубных протезов также повышают риск развития молочницы.
У детей и новорожденных молочница может развиваться, когда иммунная система ещё недостаточно сильна, чтобы контролировать рост дрожжевых грибков. Инфекция может быть передана от младенца к матери во время кормления грудью. У пожилых людей инфекция возникает в результате возрастного ослабления иммунитета. Как правило, основной причиной развития молочницы является попадание в рот нового вида бактерий – это нарушает существующий баланс, в результате чего грибки Кандида начинают размножаться. Определённые медико-санитарные условия также могут способствовать развитию инфекции.
- Нарушения способности бороться с инфекцией, вызванное ослабленной иммунной системой, увеличивают риск развития молочницы. Хороший иммунитет, как правило, достаточно силён для предотвращения разрастания грибков Кандида.
- Дети более подвержены заболеванию, если их иммунная система недостаточна развита. Молочница обычно наблюдается у новорожденных в течение первых нескольких недель жизни.
- Пожилые люди более склонны к развитию молочницы, когда их иммунитет начинает ослабевать в связи с процессами старения.
- Больные ВИЧ-инфекцией имеют большой риск развития молочницы. Около 90% страдающих ВИЧ/СПИДом заболевают ей.
- Люди, страдающие диабетом, склонны к заболеванию молочницей, так как высокий уровень сахара в крови способствует росту дрожжевых грибков Кандида.
- Сухость во рту также может привести к молочнице. Этот эффект может быть следствием чрезмерного использования жидкости для полоскания рта или синдрома Шегрена.
- Беременность увеличивает риск развития молочницы. Гормональные изменения, сопровождающие беременность, могут нарушить баланс бактерий в ротовой полости, что способствует развитию молочницы.
- Отсутствие ухода за зубами даёт молочнице больше шансов на развитие. Это особенно актуально для людей, носящих зубные протезы.
- Употребление антибиотиков или ингаляционных кортикостероидов может привести к молочнице, так как эти лекарства зачастую приводят к нарушению бактериального баланса в ротовой полости.

Препараты против молочницы
Молочница лечится с помощью противогрибковых препаратов, которые можно приобрести как по рецепту, так и без него. Если безрецептурные средства не приносят облегчения, стоит обратиться к врачу для назначения более мощных медикаментов.
У новорожденных лечение продолжается до тех пор, пока симптомы не исчезнут в течение двух суток. В большинстве случаев взрослым достаточно двухнедельного курса терапии. При тяжелых и хронических формах молочницы лечение может занять больше времени.
Противогрибковые препараты могут применяться как местно, непосредственно на пораженные участки (что обеспечивает локальное воздействие), так и орально, при этом они действуют на весь организм.
Местные противогрибковые средства
Препараты для местного применения наносятся на пораженные участки и представлены в различных формах, таких как растворы для полоскания или таблетки.
Чтобы остановить развитие молочницы, такие средства должны находиться в контакте с пораженной областью достаточно долго. Таблетки предпочтительнее, так как они медленно растворяются. Для их растворения требуется вода, что может повысить эффективность лечения.
Некоторые местные противогрибковые препараты содержат сахар, что увеличивает риск образования кариеса при длительном использовании.
Применение гелей или местных ополаскивателей с фтором (если вы не получаете фтор из других источников) во время лечения поможет предотвратить кариес.
Оральные препараты
В отличие от местных средств, оральные противогрибковые препараты оказывают влияние на весь организм. Они применяются в основном для лечения легкой формы молочницы, но могут комбинироваться с местными средствами при более серьезных инфекциях.
Оральные противогрибковые препараты также используются для профилактики молочницы у людей с ослабленной иммунной системой. Однако их не следует применять во время беременности, так как это может негативно сказаться на плоде. Их использование возможно только в случае редкой тяжелой формы молочницы, которая проникает в кровь.
В редких случаях противогрибковые препараты могут вводиться внутривенно.
Распространение молочницы
Грибки, вызывающие молочницу, могут передаваться от одного человека к другому разными способами.
- Новорожденный может приобрести заболевание во время родов, особенно если мать была заражена этой инфекцией. Симптомы молочницы обычно проявляются от 3 до 7 дней после рождения. Младенцы и дети имеют не сформированную иммунную систему, а также не имеют полноценного здорового баланса бактерий и грибков в ротовой полости. Именно поэтому молочница наблюдается в течение первых нескольких месяцев жизни.
- С другой стороны, здоровые новорожденные и дети постарше, как правило, не страдают ей. Но ребёнок с ослабленным иммунитетом может приобрести молочницу путём обмена инфицированными игрушками или сосками с ребёнком, страдающим этой инфекцией. Инфицированный ребёнок оставляет грибки на всём, до чего дотрагивается ртом. Взяв в рот объект с грибками молочницы, здоровый ребёнок может заразиться этой инфекцией.
- Взрослые люди, носящие зубные протезы, имеют больший риск заболевания молочницей и её распространения. Человек заражается инфекцией, перенося грибки с рук на зубные протезы. Страдающий молочницей может перенести грибки с протеза на руку, а затем прикоснуться к какой-либо вещи, до которой дотронется другой человек (или возьмёт в рот).
Видеосюжет о молочнице
Диагностика молочницы
Как правило, визуального осмотра достаточно для диагностики молочницы. Дополнительно, осмотрев рот, врач должен задать вам вопросы о вашей медицинской истории. В редких случаях врач может назначить тест, в котором будет снято и рассмотрено одно из белых пятен. Этот тест “KOH prep” используется только в случаях, когда молочница неочевидна при визуальном осмотре, или когда диагноз не соответствует прописанным врачом медикаментам.
Молочница и мочеполовые инфекции
Молочница может передаваться во время полового акта, однако важно отметить, что не все случаи заболевания возникают именно таким образом. Поэтому неправильно относить молочницу к мочеполовым инфекциям. Это заболевание может возникать как у мужчин, так и у женщин, которые не ведут половую жизнь. Это говорит о том, что если вы заразились от партнёра, то у него могло быть заболевание, возникшее самостоятельно.
Что происходит при молочнице?
В большинстве случаев молочница не вызывает серьезных осложнений и поддается лечению с помощью противогрибковых растворов для полоскания рта или таблеток. Легкие формы заболевания могут быть вылечены самостоятельно в домашних условиях. Обычно лечение занимает около двух недель. В некоторых случаях симптомы могут сохраняться даже после завершения терапии. Если молочница не проходит самостоятельно и не лечится, она может распространиться на другие органы.
- Молочница может затрагивать горло (пищевод), влагалище или кожу, но на другие органы она распространяется редко.
- У младенцев молочница может возникать из-за подгузников, так как стул ребенка создает благоприятные условия для размножения грибков.
Заболевание может повторяться:
- У людей, использующих ингаляционные кортикостероиды для лечения астмы.
- У тех, кто принимает антибиотики на протяжении длительного времени.
- У людей с зубными протезами.
- У лиц с ослабленным иммунитетом.
- У детей, которые берут в рот предметы, зараженные инфекцией.
Осложнения:
Осложнения возникают редко у здоровых людей, но могут включать:
- Плохой аппетит у детей, страдающих от молочницы.
- Инфекции горла.
Что увеличивает риск развития молочницы?
Существует несколько факторов, способствующих повышению риска заболевания.
Возраст
- Новорожденные и грудные дети часто имеют незрелую иммунную систему, что увеличивает вероятность инфекций, включая молочницу.
- У новорожденных также может отсутствовать здоровый баланс бактерий и грибков в ротовой полости, что может привести к развитию молочницы.
- Пожилые люди, особенно с серьезными заболеваниями, более подвержены молочнице из-за ослабления иммунной системы.
Поведение
- Грибки, вызывающие молочницу, могут передаваться через оральный секс.
- Активное курение может снижать способность организма бороться с инфекциями, что создает благоприятные условия для развития молочницы.
Другие условия
- Зубные протезы или фиксирующие устройства, вызывающие раздражение в ротовой полости, затрудняют поддержание гигиеничности, что может увеличить риск молочницы. Чистая полость рта более защищена.
- Люди с ослабленным иммунитетом, такие как диабетики или ВИЧ-инфицированные, а также те, кто прошел химиотерапию, находятся в группе повышенного риска.
Лекарства
Некоторые препараты могут способствовать бесконтрольному росту грибков, вызывающих молочницу:
- Антибиотики, особенно широкого спектра действия, такие как тетрациклин.
- Оральные контрацептивы.
- Лекарства, подавляющие иммунную систему, например, кортикостероиды.
Окружающая среда
Длительное воздействие определенных химических веществ, таких как бензол и пестициды, может ослаблять иммунитет, увеличивая риск инфекций, включая молочницу.
Когда следует обратиться к врачу?
В большинстве случаев врачи могут диагностировать молочницу, просто обнаружив белые пятна. Специалист задаст вопросы о вашем состоянии здоровья. Если есть подозрение на наличие других заболеваний, таких как диабет, может потребоваться дополнительное обследование.
Ваш стоматолог может выявить молочницу при осмотре ротовой полости, заметив характерные белые язвы на губах, языке или щеках. Легкое очищение поражений может вызвать покраснение мягких тканей, которые могут немного кровоточить. Микроскопическое исследование пораженных участков поможет подтвердить диагноз.
Для диагностики молочницы, затрагивающей пищевод, могут потребоваться дополнительные тесты, такие как рентген, эндоскопия пищевода, желудка и тонкой кишки.
Если вы подозреваете наличие молочницы, обратитесь к врачу. Сообщите о наличии или отсутствии симптомов, таких как белые пятна на коже вне ротовой полости. Также укажите, если симптомы ухудшаются или не улучшаются в течение недели после начала лечения.
Молочница у ребенка может передаваться на грудь кормящей матери, что может привести к покраснению и боли сосков. Обратитесь к врачу, если покраснение и боль в сосках сохраняются, несмотря на домашнее лечение, или если у вас возникают жгучие боли в области сосков. Рот вашего ребенка должен быть обследован на наличие симптомов молочницы.
Бдительное наблюдение
Если у вас ранее была диагностирована молочница и вы подозреваете, что инфекция возвращается, домашнее лечение может помочь. Легкие формы заболевания можно лечить без медицинской помощи. Обратитесь к врачу, если:
- Симптомы ухудшаются или не улучшаются, несмотря на домашнее лечение.
- Симптомы проявляются часто.
- У вас есть ВИЧ, онкология или другие причины, ослабляющие иммунитет.
К кому обратиться
Следующие специалисты могут помочь в диагностике и лечении молочницы:
- Педиатр
- Медсестра
- Ассистент врача
- Семейный врач
- Терапевт
Другие специалисты могут понадобиться, если инфекция затрагивает другие органы или возникают другие осложнения. Типы специалистов зависят от пораженных органов и могут включать:
- Гастроэнтеролог
- Дерматолог
- Гинеколог
- Специалист по инфекционным заболеваниям
Профилактика молочницы
Чтобы предотвратить развитие заболевания:
- Соблюдайте гигиену полости рта. Чистите зубы дважды в день, используйте зубную нить и полощите рот антисептическим средством ежедневно. Если у вас была молочница, замените зубную щетку, чтобы избежать повторного заражения.
- Если вы носите зубные протезы, оставляйте их на ночь в специальной очистительной жидкости с биклюконатом хлоргексидина, которую можно приобрести в аптеке. Также можно использовать чистящие средства для зубных протезов, такие как Polident или Efferdent. Чистите протезы водой до и после использования.
- Избегайте спреев и жидкостей для полоскания рта, которые могут нарушить баланс микроорганизмов в ротовой полости.
- Часто и тщательно мойте руки.
- Если вы принимаете антибиотики, полощите рот водой после каждого приема.
- Старайтесь контролировать заболевания, повышающие риск молочницы, такие как диабет, ВИЧ или онкология.
- Используйте прокладку во время приема ингаляционных кортикостероидов и полощите рот специальной жидкостью после вдыхания дозы.
- Людям с ВИЧ может быть полезна жидкость для полоскания рта Listerine.
- Регулярно посещайте стоматолога, особенно если у вас диабет или вы носите зубные протезы.
- Ограничьте потребление продуктов с высоким содержанием сахара и дрожжей. Пиво, хлеб, вино, сладости и подобные продукты могут способствовать развитию молочницы.
- Если вы курите, постарайтесь бросить. Обратитесь к врачу или стоматологу за советом о том, как избавиться от этой привычки.
Для снижения риска молочницы у детей:
- Лечите вагинальные грибковые инфекции, особенно в последние три месяца беременности, чтобы снизить риск передачи заболевания ребенку во время родов. Это также поможет предотвратить распространение инфекции через оральный секс.
- Ежедневно мойте бутылочки и соски в горячей воде, храните их в холодильнике, чтобы уменьшить вероятность размножения грибков.
- Не используйте бутылочку более чем через час после того, как ребенок из нее пил, так как этого времени достаточно для размножения грибков.
- Кипятите все предметы, которые ребенок кладет в рот, или обрабатывайте их в посудомоечной машине.
- Меняйте пеленки и подгузники сразу после намокания. Мокрые пеленки и подгузники создают благоприятные условия для роста грибков, что может привести к молочнице.
- Если возможно, кормите ребенка грудью. Грудное молоко содержит антитела, которые помогают формировать естественную защиту (иммунитет) ребенка, позволяя организму противостоять инфекциям.
- Обратитесь к врачу, если во время кормления ребенка у вас болят и краснеют соски или возникают боли в груди. Это может указывать на наличие молочницы у ребенка, которая распространилась на соски.
- Если вы кормите грудью, дезинфицируйте соски такими средствами, как нистатин. Молочница может передаваться между ребенком и матерью.
- После кормления вытирайте соски насухо и используйте лосьон с ланолином.
Если ваш ребенок принимает антибиотики, например, от ушной инфекции, полощите его рот водой после каждого приема. Антибиотики могут нарушить бактериальный баланс в ротовой полости и способствовать развитию грибков, вызывающих молочницу. Полоскание рта водой после приема антибиотиков поможет сохранить нормальное состояние в ротовой полости.
Если ребенку требуется медицинская помощь для лечения молочницы, не вставляйте пипетку в рот. Капните средство на ватный тампон и нанесите его на пораженные участки. Утилизируйте тампон и не возвращайте ничего обратно в контейнер, чтобы избежать заражения.
Выбор лекарства
Лекарства, доступные без рецепта
- Горечавка фиолетовая (1%) — это краситель, который уничтожает бактерии и грибки, включая дрожжи, вызывающие молочницу.
- Жидкость для полоскания рта Listerine рекомендуется для профилактики заболевания у людей с синдромом приобретенного иммунодефицита (СПИД).
Лекарства, отпускаемые по рецепту
- Полиены (например, Микостатин и Фунгизон)
- Азолы (такие как Дифлюкан, Монистат, Mycelex, Низонал и Споранокс)
- Хлоргексидин (например, Перидекс)
Обратите внимание
- Полиены и азолы наиболее часто применяются в лечении молочницы.
- Нистатин (полиен) чаще всего используется для лечения заболевания у детей.
- Несмотря на то, что некоторые исследования показывают безопасность азолов для детей и новорожденных, необходимы дополнительные исследования. Обычно полиены являются первым выбором для лечения молочницы у детей и новорожденных. Частота рецидивов примерно одинакова в обоих случаях.
Дополнительные статьи и обсуждения молочницы
Источники, авторы и рецензенты статьи
Источники:
- Вайнберг А., Левин М. Дж. (2003). Инфекции: паразитарные и грибковые. Под редакцией В.В. Хея младшего и др., Текущая детская диагностика и лечение, 16-е изд., стр. 1240-1243. Нью-Йорк: McGraw-Hill.
- Панкхерст С. Л. (2009). Кандидоз (ротоглотки), сентябрь 2008 года. Онлайн-версия клинического подтверждения BMJ: http://www.clinicalevidence.com.
- Американская Академия Педиатрии (2009). Кандидоз (кандидоз, молочница). Под редакцией Пикеринга Л. К. и др., Красная книга: 2009, Доклад Комитета по инфекционным заболеваниям, 28 изд., стр. 245-249. Elk Grove Village, IL: Американская академия педиатрии.
- Американская ассоциация общественного здоровья (2008). Кандидоз. Под редакцией Д. Л. Хеймана, Руководство по борьбе с инфекционными заболеваниями, 19-е изд., стр. 98-101. Вашингтон, DC: Американская ассоциация общественного здоровья.
- Кнапп К. М., Флинн П. М. (2009). Кандидоз. Под редакцией Р. Д. Фейгина и др., Фейгин и Учебник Черри по детским инфекционным заболеваниям, 6-е изд., том 2, стр. 2741-2751. Филадельфия: Сондерс Elsevier.
- Паппас П. и др. (2009). Руководящие принципы клинической практики управления кандидозом: 2009. Освобождение от инфекционных заболеваний американского общества. Клинические инфекционные болезни, 48 (5): 503-535.
Автор: Мария Г. Эссиг, MS, ELS
Редактор: Сьюзан Ван Хаутен, RN, BSN, MBA
Младший редактор: Пэт Трумэн, MATC
Первичный медицинский рецензент: Майкл Дж. Секстон, доктор медицинских наук, педиатр.
Специализированный медицинский рецензент: Томас Франсуер Эмметт, доктор медицинских наук, CM, CSPQ, FRCPC – Педиатрия
Профилактика молочницы
Профилактика молочницы является важным аспектом в поддержании здоровья и предотвращении рецидивов этого заболевания. Молочница, или кандидоз, вызывается грибами рода Candida, которые могут находиться в организме человека в небольших количествах, не вызывая никаких симптомов. Однако при определенных условиях, таких как ослабление иммунной системы или дисбаланс микрофлоры, эти грибы могут начать активно размножаться, что приводит к развитию инфекции.
Для снижения риска возникновения молочницы рекомендуется соблюдать несколько простых, но эффективных мер:
- Поддержание нормального уровня иммунитета: Здоровый образ жизни, включая сбалансированное питание, регулярные физические нагрузки и достаточный сон, способствует укреплению иммунной системы. Важно также избегать стрессов, которые могут негативно сказаться на здоровье.
- Соблюдение личной гигиены: Регулярное мытье половых органов с использованием мягких, неагрессивных средств поможет предотвратить размножение грибов. Рекомендуется избегать использования ароматизированных мыл и гелей, которые могут нарушить естественный баланс микрофлоры.
- Правильный выбор одежды: Носите свободное, дышащее белье из натуральных тканей, таких как хлопок. Это поможет избежать создания теплой и влажной среды, способствующей росту грибов.
- Ограничение потребления сахара: Грибы рода Candida питаются сахаром, поэтому снижение его потребления может помочь в профилактике молочницы. Важно также следить за потреблением углеводов, особенно простых, которые быстро усваиваются.
- Регулярные медицинские осмотры: Посещение врача для профилактических осмотров и консультаций поможет своевременно выявить и устранить факторы риска, способствующие развитию молочницы.
- Избегание антибиотиков без необходимости: Антибиотики могут нарушать баланс микрофлоры, что увеличивает риск развития кандидоза. При необходимости их назначения важно следовать рекомендациям врача и, возможно, принимать пробиотики для восстановления нормальной флоры.
- Контроль за состоянием здоровья: Хронические заболевания, такие как диабет, могут способствовать развитию молочницы. Важно следить за уровнем сахара в крови и поддерживать его в норме.
Следуя этим рекомендациям, можно значительно снизить риск возникновения молочницы и поддерживать здоровье половой системы. Однако при появлении первых симптомов заболевания важно обратиться к врачу для диагностики и назначения соответствующего лечения.
Вопрос-ответ
Какие основные симптомы молочницы?
Симптомы молочницы могут включать зуд и жжение в области половых органов, белые творожистые выделения, а также болезненные ощущения при мочеиспускании и половом акте. У женщин могут наблюдаться отеки и покраснение наружных половых органов.
Что может вызвать развитие молочницы?
Развитие молочницы может быть спровоцировано различными факторами, такими как нарушение баланса микрофлоры влагалища, прием антибиотиков, гормональные изменения, стресс, а также ослабление иммунной системы. Также риск увеличивается при неправильной гигиене или использовании синтетического нижнего белья.
Как проводится диагностика молочницы?
Диагностика молочницы обычно включает в себя сбор анамнеза, физикальное обследование и лабораторные тесты. Врач может взять мазок из влагалища для микроскопического исследования и посева на грибки, что поможет подтвердить диагноз и исключить другие инфекции.
Советы
СОВЕТ №1
Регулярно посещайте гинеколога для профилактических осмотров. Это поможет выявить молочницу на ранней стадии и предотвратить ее развитие, а также позволит контролировать общее состояние здоровья.
СОВЕТ №2
Обратите внимание на свое питание. Употребление продуктов, богатых пробиотиками, таких как йогурты и кефир, может помочь поддерживать баланс микрофлоры и снизить риск возникновения молочницы.
СОВЕТ №3
Избегайте использования агрессивных моющих средств и дезодорантов для интимной гигиены. Они могут нарушить естественный баланс микрофлоры и способствовать развитию грибковых инфекций.
СОВЕТ №4
При появлении первых симптомов молочницы, таких как зуд, жжение или необычные выделения, не откладывайте визит к врачу. Раннее обращение за медицинской помощью поможет избежать осложнений и ускорить процесс выздоровления.



